Developmental dysplasia of the hip assistant

by Jonathan Colledge
Home Back to Calculators

DDH (developmnental dysplasia of the hip) ultrasound assistant


Graf stage =

Anatomy

The initial anatomical checklist is should be assessed in this order:

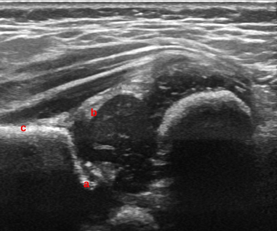
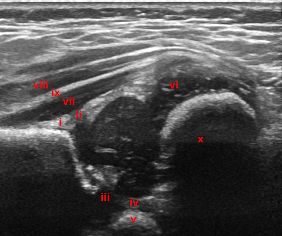
  1. The chondro-osseous border
  2. Femoral head
  3. Synovial fold
  4. Joint capsule
  5. Labrum
  6. Cartilage
  7. Bony roof
  8. Turning point - the point where the bony roof turns from convexity to concavity

Further assessment for the following structures should be performed to ensure the correct plane has been obtained and that the image can be used:

  1. The lower limb of the ilium
  2. the horizontal (or vertical aspect of the Ilium) - straight and perpendicular to the ultrasound beam
  3. The labrum

Further anatomical structures are:

  1. Proximal perichondrium (Tendon of reflected head of rectus femoris, perichondrium of hyaline cartilage, and joint capsule fat deposit)
  2. Perichondrial gap (distal capsule and perichondrium), ischio-femoral ligament
  3. Triradiate cartilage
  4. Ligamentum teres
  5. Ischium
  6. Greater trochanter
  7. Gluteus minimus
  8. Gluteus maximus
  9. Intermusular septum
  10. Femoral metaphysis

Background

This calculator is an aid to the subdivisions of the Graf classification. The classification can be simplified to the following:

  • Graf I: normal hip (alpha >=60°), with (Ib) or without (Ia) a beta angle >55°
  • Graf IIa: immature hip (alpha 50-59°) less than 12 weeks of age, and at 6 weeks+ either maturing appropriately (+) or inappropriately (-) for age
  • Graf IIb: dysplastic hip, (alpha 50-59°) >13 weeks age
  • Graf IIc: severely dysplastic hip (alpha 43-49°, beta <77°)
  • Graf D: decentred hip (alpha 43-49°, beta >77°)
  • Graf III: dislocated hip (alpha <43°), the perichondrium passes upwards
  • Graf IV: severely dislocated hip (alpha <43°), the perichondrium passes horizontally or downwards

The classification between type IIa+ and IIa- should not occur before 6 weeks. It is assumed here that the age in weeks is the last full week of age attained. Graf states that "to be on the safe side" it is assumed that development is linear with a minimum alpha angle as a neonate of 50, a minimum alpha angle as a 6 week old of 55, and by the end of the 12 th week an alpha angle of 60. This gives the following table:

AgeMinimum alpha angle
050
150.83333
251.66667
352.5
453.33333
554.16667
655
755.83333
856.66667
957.5
1058.33333
1159.16667
1260

This page assumes the standard radiological convention of superior and rightwards structures are displayed on the left of the screen as opposed to Graf's method of flipping and rotating the images.

A high frequency probe (e.g. 5-15 MHz) should be used, with the lower frequencies selected when greater penetration is needed.

Using the Graf method the hips should be slightly flexed [1, 2]. The patient should be on their side and the probe is placed, vertically orientated, on the lateral aspect of the hip.

After identifying the osteochondral junction, the femoral head, synovial fold, joint capsule, acetabular labrum, acetabular cartilage, bony roof of the acetabulum and turning point (see earlier) should be identified. The lower limb of the ilium and the triradiate cartilage indicate the acetabular center. The ilium should then be made straight on the screen. Since, at this point, the ilium raises anteriorly and superiorly and falls posteriorly and inferiorly, to get a straight image of the ilium, you need to align the probe between the rise and the fall.

If you are scanning the right hip, rotating the probe clockwise will result in the part of the image formed by the top of the probe to raise in a curve:

And if you rotate anticlockwise, it will cause it to fall as a curve:

So to make a straight line you either chase it down by rotating anticlockwise or raise it up by rotating clockwise whilst maintaining the centre of rotation such that the structures of interest remain on screen. The opposite rotation is needed when scanning the left hip.

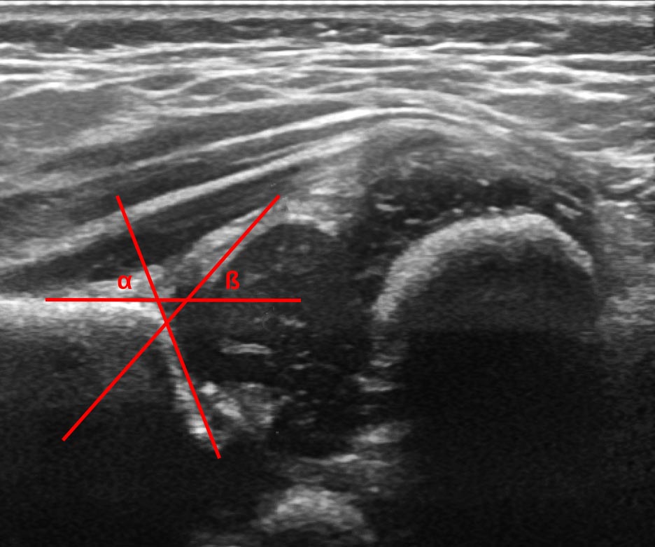
To measure the angle, a baseline plane is drawn along horizontal or vertical ilium starting at the point the perichondrium meets the ilium. A further line is drawn through points placed at the lower limb of the ilium and at the turning point. just touching the bone, not cutting in to it. The angle between baseline and this line is the alpha angle. The angle from the baseline to a line through the turning point and the middle of the labrum is the beta angle. The lines should not cross at a single point.

References

  1. Hip sonography. Diagnosis and management of infant hip dysplasia. Second Edition. Graf R. Springer. 2006.