Radiology Tutor

by Jonathan Colledge
Home Back to Anatomy

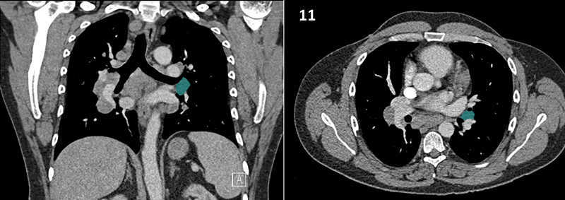
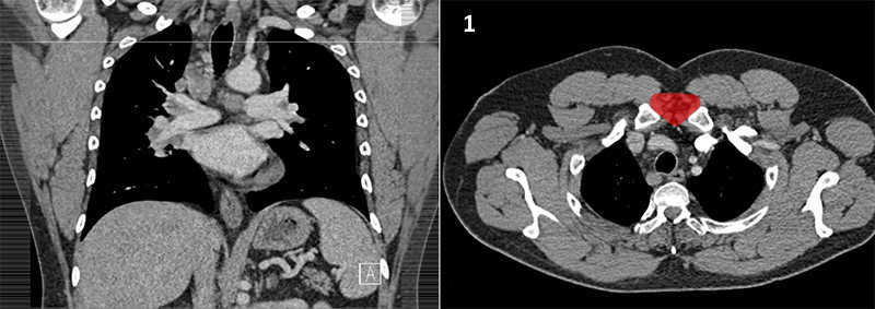
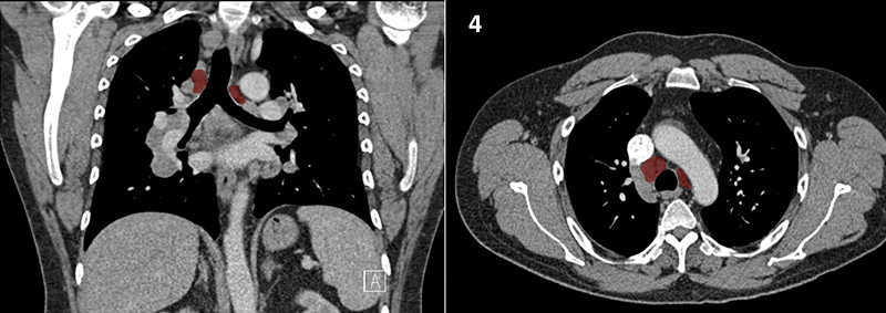
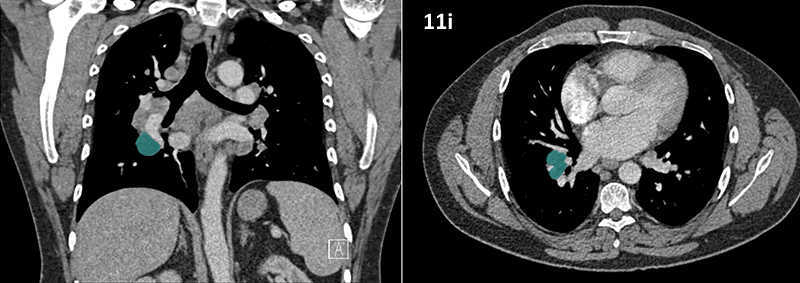
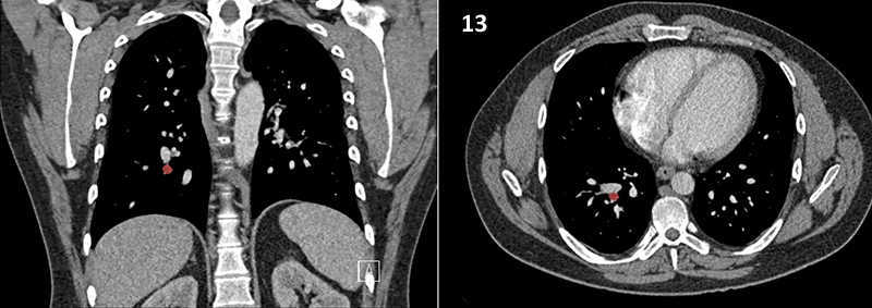
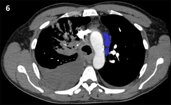
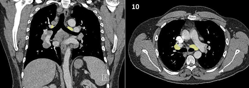
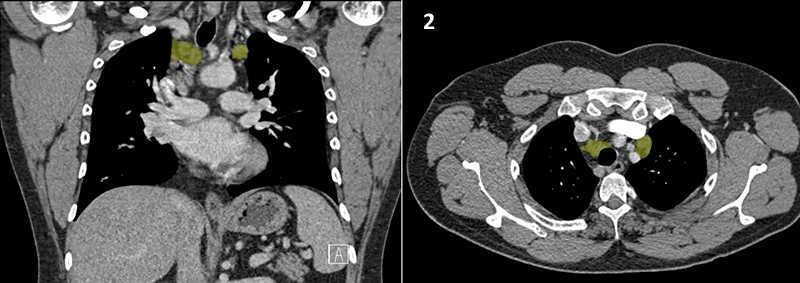
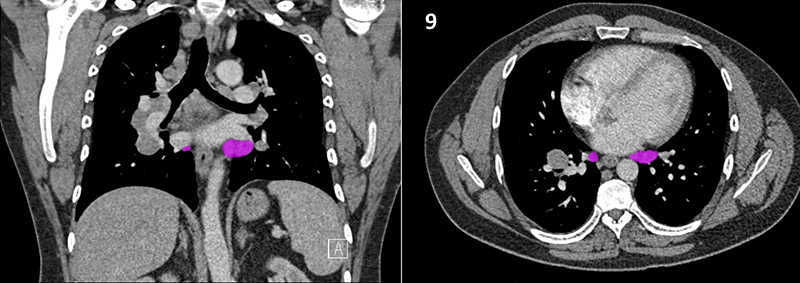
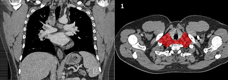
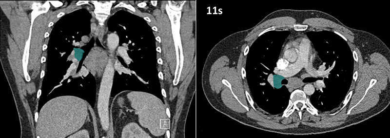
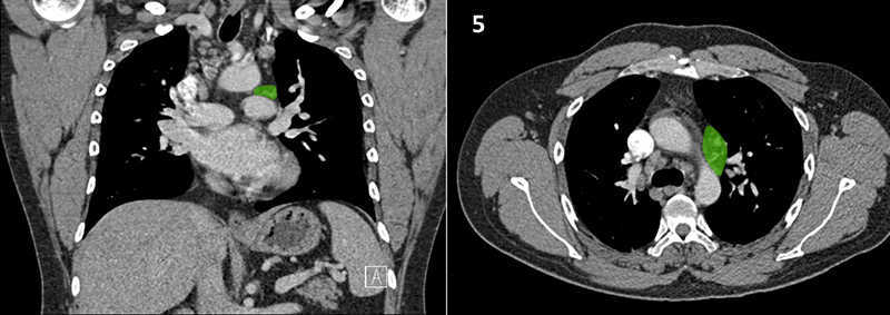
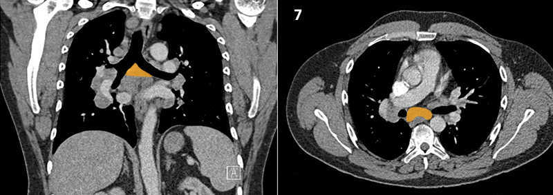
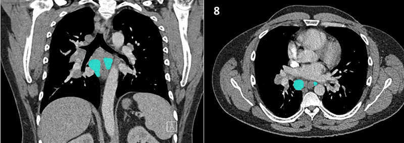
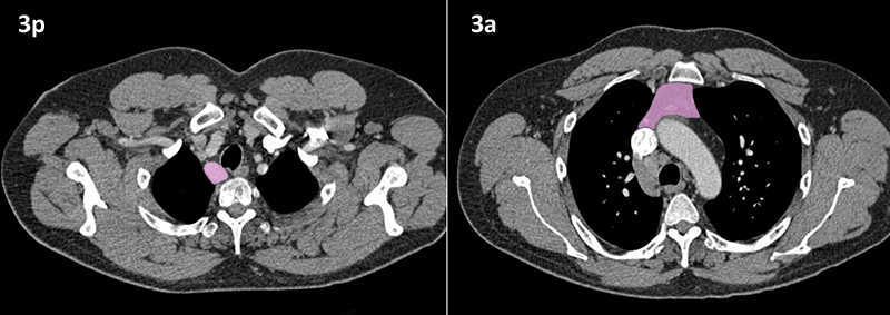
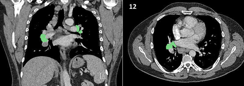
Nodal zones and stations according to the International Association for the Study of Lung Cancer (IASLC) node map.

For low resolution screens, tip your device to landscape to read the table if needed (ensure rotation lock is not on).

Table (above): Nodal zones and stations according to the International Association for the Study of Lung Cancer (IASLC) node map. (Source: 1,2) *Depends on the side of the tumour.

References
  1. Goldstraw P, Crowley J, Chansky K, et al. The IASLC Lung Cancer Staging Project: proposals for the revision of the TNM stage groupings in the forthcoming (seventh) edition of the TNM Classification of malignant tumours. J Thorac Oncol. 2007;2(8):706–714.
  2. Rusch VW, Asamura H, Watanabe H, et al. The IASLC lung cancer staging project: a proposal for a new international lymph node map in the forthcoming seventh edition of the TNM classification for lung cancer. J Thorac Oncol. 2009;4(5):568–577.