Radiology Tutor

by Jonathan Colledge
Home Back to Anatomy

Liver segments

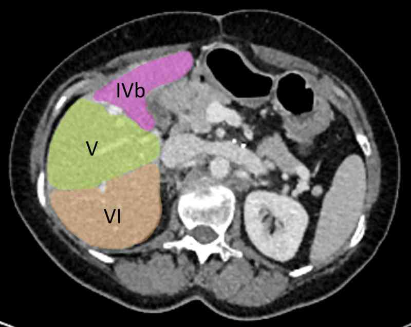
Liver segments are the caudate lobe (segment I) and each region of the liver when it is divided by the portal and hepatic veins. Segments below the portal vein from left to right are III, IVb (remember it is inferior using b for base), V and VI. Segments above the portal vein are II, IVa VIII and VII. When working in this order is is not immediately apparent the order that the segments take e.g. VII seems to be after VIII. Instead count starting with the caudate lobe, move across to segment II (superior, most leftward), move down to III, across right to IV, V, and VI, then straight up to VII and across left to VIII. Trace this out in your mind and on screen and it makes sense.

If you want to count in order, count I and II above, move to the image below and count III, IV, V, and VI, skip the third image and count VII and VIII on the fourth. Observe the order you moved around the liver when counting in this manner.