Radiology Tutor

by Jonathan Colledge
Home Back to Anatomy

Bronchopulmonary segments

Left lung

Upper lobe: Apico-posterior, anterior, superior lingula, and inferior lingula.
Lower lobe: Apical, posterior basal, anteromedial basal, and lateral-basal.

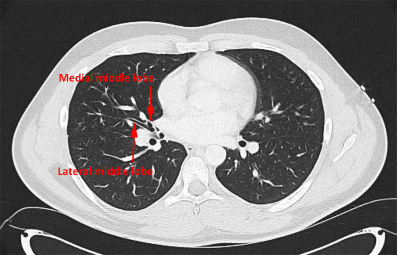
Right lung

Upper lobe: Anterior, posterior and apical.
Middle lobe: Medial and lateral.
Lower lobe: Apical, posterior basal, anterior basal, medial basal and lateral basal.

Right
Left